Case Study

(23 Available)

Filters
October 29, 2025
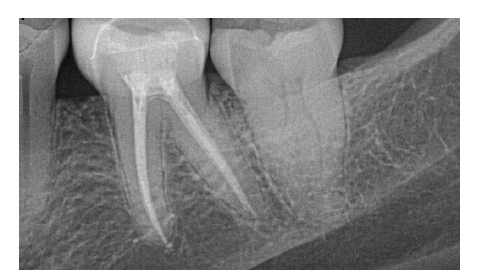
Management of complex root canal anatomy: A comparison between Kerr’s ZenFlex™ file system and Dentsply’s ProTaper Universal Gold® and ProTaper Next® file systems.
Non-surgical endodontic therapy can be achieved by various filing and obturation methods, however certain core principles must…
October 28, 2025
Miller Traverse™ & elements™ IC Endodontic Treatment Case Study - Dr. Matthew Miller
Endodontic Treatment - Case Study Endodontic therapy can be challenging for many providers, be it from the diagnosis to the…
October 21, 2025
Tooth No. 3 obturated with SimpliCore™
Tooth No. 3 obturated with SimpliCore™ Dr. David King treats a failing restoration The patient came in for a crown re-do on…
October 13, 2025
Restorative treatment of a persistent, unilateral open bite with direct composite table tops
Reconstructions of posterior teeth that extend over multiple cusps or even the entire occlusal surface are typically performed…
October 13, 2025
Smart cements for indirect bonded ceramic restorations
In contemporary restorative dentistry, the use of self-etch adhesives has become a very routine practice. However, there are…
October 2, 2025
Case Study by Prof. Angelo Putignano: The best solution: One more overlay.
The step-luting technique optimizes the cementation of indirect restorations using dual-cure resin cement, addressing a critical…
October 2, 2025
The best solution: One more overlay.
The step-luting technique optimizes the cementation of indirect restorations using dual-cure resin cement, addressing a critical…
October 2, 2025
Presentation of the clinical case of deep distal caries with symptoms of acute pulpitis on tooth 46 in an 80-year-old patient:
Presentation of the clinical case of deep distal caries with symptoms of acute pulpitis on tooth 46 in an 80-year-old patient…
October 2, 2025
“Clinical case by Prof. Putignano” This clinical case demonstrates how to achieve excellent results in the restoration
Non-carious cervical lesions (NCCLs) are a multifactorial pathology characterized by the loss of hard dental tissues at the…
October 2, 2025
Restoration Success Using OptiBond Universal 360 Adhesive
When it comes to restorative dentistry, a versatile, strong, and durable dental adhesive that bonds effectively to enamel and…
September 24, 2025
WHY I USE.. Maxcem Elite
Maxcem Elite After nearly a decade of routinely using this simplified universal resin cement, a general dentist shares the many…
September 14, 2025
Smart cements for indirect bonded ceramic restorations
In contemporary restorative dentistry, the use of self-etch adhesives has become a very routine practice. However, there are…